Koniec amalgámových plômb sa blíži
Už od polovice minulého roka sa hovorí o tom, že Európska komisia zakáže zubným lekárom používať amalgámové výplne. Tie sa používajú najmä preto, že sa jedná o výplň, ktorá je hradená poisťovňou a sú riešením pre osoby, ktoré si nechcú alebo nemôžu za iné výplne priplácať.
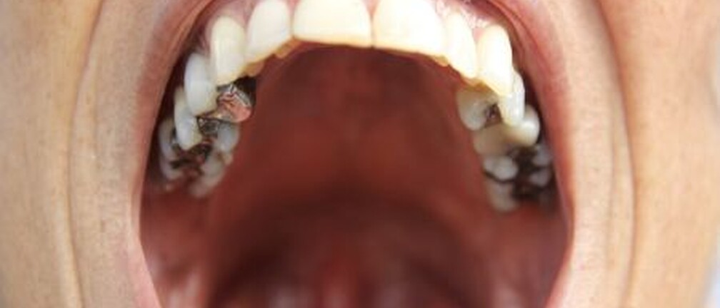
Amalgám je klasická tmavá zubná výplň. Skladá sa z niekoľkých kovov, pričom polovicu tvorí ortuť. A práve spomenutá ortuť je problémom, ktorý viedol Európsku komisiu k zákazu používania amalgámových výplní. V prvej vlne sa tento zákaz bude týkať detí a tehotných žien a vstúpi do platnosti od júla 2018. Následne od januára 2019 by sa ale zákaz mal rozšíriť na všetkých pacientov.
Prečo nebude amalgám povolený?
Aj keď to bude znieť čudne, tak dôvodom pre zákaz amalgámu nie je to, že by nejakým spôsobom škodil človeku, ale podľa odborníkov škodí životnému prostrediu. Je to preto, že pri vybrusovaní zubnej výplne sa ortuť vyplavuje do odpadových vôd. Dôvod pre zákaz amalgámu preto nie je zdravotný, ale ekologický.
Čo na to zubní lekári?
Zubní lekári sa zhodujú na tom, že amalgám bol riešením pre pacientov, ktorí si nie sú schopní uhradiť drahšiu výplň, alebo skrátka nechcú. Dokonca pre niektoré osoby je amalgámová výplň vhodnejšia, pretože kompozitná výplň môže osobám, ktoré si zle čistia zuby, praskať a zuby sa môžu znova kaziť.
Spočiatku ako najväčší problém vnímali zubní lekári to, že nebolo vyriešené, či po začiatku platnosti zákazu začnú poisťovne preplácať iné drahšie výplne všetkým pacientom, alebo ich budú aspoň čiastočne hradiť. Keby zubní lekári nemali možnosť pacientom poskytnúť niektorú výplň zadarmo, viedlo by to v najhoršom dôsledku k tomu, že si pacienti skrátka zuby opravovať nenechajú. V tejto chvíli po stanovenie času, odkedy zákaz amalgámu pre deti a tehotné vstúpi do platnosti, sú poisťovne povinné hradiť alternatívu amalgámu, ktorou by mali byť cementové výplne. Ich životnosť je však veľmi nízka a označujú sa skôr za dlhodobé provizórium.
Ako to teda bude?
Aj keď to sprvu vyzeralo ako veľká téma, ktorá sa ešte bude ďalej riešiť, nakoniec zákaz amalgámu v zubných ordináciách začne platiť už za mesiac. Aj keď zatiaľ len pre deti a tehotné a dojčiace ženy, isté je, že amalgám v horizonte niekoľkých rokov pravdepodobne zmizne zo zubných ordinácií úplne a pacienti si budú musieť zvyknúť na iný materiál výplní.
